Lo sviluppo del rumine del vitello
Da monogastrico a poligastrico
Lo sviluppo del tratto digestivo nei vitelli presenta un sistema organizzato in modo unico. In particolare, grazie al rumine e alla sua colonizzazione da parte dei microrganismi, il vitello passa fisiologicamente da un animale pseudo-monogastrico a ruminante funzionante.
La progressione del rumine nei vitelli può influenzare direttamente l’assunzione di mangime, la digeribilità dei nutrienti e la crescita complessiva. Anche piccoli cambiamenti nel regime di alimentazione precoce e nella nutrizione possono influenzare drasticamente questo processo, con effetti a lungo termine sulla crescita, sulla salute e sulla produzione di latte nei bovini adulti.
Lo sviluppo del rumine nei vitelli appena nati è una delle aree più importanti e interessanti della nutrizione dei vitelli.
L’abomaso dei vitelli appena nati è l’unico stomaco completamente sviluppato e funzionale ed è anche l’organo digestivo più importante per i vitelli alla nascita. La digestione di grassi, carboidrati e proteine dipende principalmente dagli enzimi digestivi secreti dall’abomaso e dall’intestino tenue, che è simile al sistema digestivo degli animali monogastrici. Nel corso del tempo, con l’aumento dell’apporto di alimenti solidi, il rumine inizia a svilupparsi e a svolgere ruoli digestivi più importanti.
Perché è importante sapere che il rumine non è sviluppato nella prima fase di vita dell’animale?
Per evitare la somministrazione di fieno troppo precocemente!
Questa pratica porta alla formazione, a livello ruminale intestinale, di “palle di fieno” cagliate che occupano solo spazio andando a diminuire la capacità d’ingestione di concentrato, rallentando lo sviluppo del rumine.
Guida allo sviluppo del rumine
Costituzione del microbiota ruminale
Alla nascita, il tratto gastrointestinale dei giovani ruminanti è sterile. Durante le prime ore di vita, il prestomaco viene rapidamente colonizzato da un’abbondante popolazione microbica.
I neonati acquisiscono i batteri dalla fattrice, dai partner, dall’alimentazione, dalla stabulazione e dall’ambiente. Entro un giorno di età, è possibile trovare una grande concentrazione di batterica, principalmente aerobi (o che utilizzano ossigeno).
Successivamente, il numero totale di batteri/ml di fluido ruminale non cambia drasticamente, ma quando il vitello inizia a consumare mangime secco si modifica la tipologia. Con l’aumentare dell’assunzione di alimenti secchi, la popolazione batterica passa da aerobica ad anaerobica e anaerobica facoltativa che gradatamente aumentano la produzione dei prodotti di fermentazione, tra i quali, di particolare interesse per lo sviluppo del rumine, troviamo gli acidi grassi volatili (propionico, butirrico e acetico).
Liquido nel rumine
I batteri presenti nell’ambiente ruminale necessitano di una presenza adeguata di acqua per sostenere le loro attività vitali. La crescita batterica e il processo di sviluppo del rumine sono intrinsecamente legati alla sua presenza. L’approvvigionamento di acqua è prevalentemente derivato dall’assunzione con l’abbeverata.
È dimostrato il beneficio che si ottiene nel fornire l’accesso all’acqua ai vitelli. La sua disponibilità sin dalle prime fasi della loro vita nell’alimentazione favorisce un incremento del peso corporeo, un miglioramento dell’assunzione di alimento starter e una riduzione delle problematiche gastro-intestinali. È errata la convinzione che per il vitello sia sufficiente l’acqua del latte.
Funzionalità Ruminale
La parete del rumine si compone di due distinti strati: l’epitelio e il muscolo. Ciascuna di queste componenti ruminali svolge funzioni specifiche e si sviluppa in risposta a differenti stimoli.
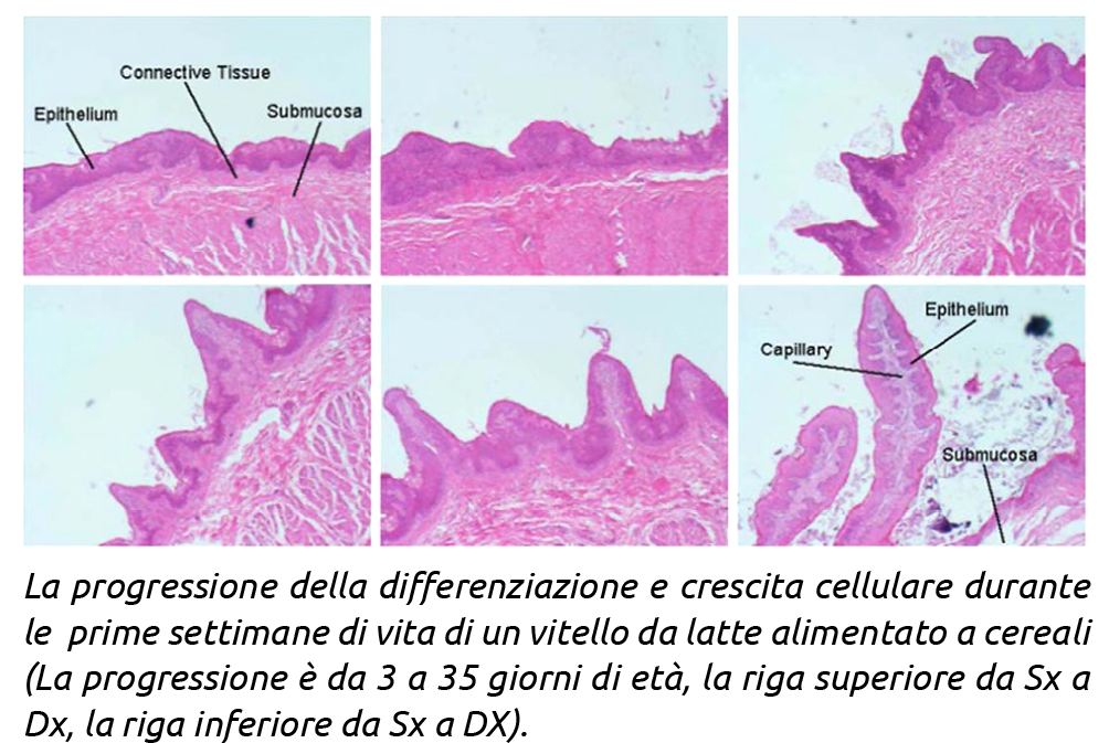
L’epitelio rappresenta il rivestimento assorbente che delimita l’interno del rumine e interagisce con il suo contenuto. Caratterizzato da una sottile membrana di tessuto, questo strato è adornato da numerose piccole proiezioni simili a dita, chiamate papille, che costituiscono la superficie di assorbimento del rumine.
La mucosa ruminale svolge molte importanti funzioni e gioca un ruolo chiave nello sviluppo del rumine, tra cui l’assorbimento, il trasporto, il metabolismo degli acidi grassi a catena corta e la protezione della parete.
La proliferazione e la crescita dell’epitelio squamoso del rumine promuove la crescita della lunghezza e della larghezza delle papille e aumenta lo spessore della parete interna del rumine. I vitelli appena nati hanno un pavimento liscio senza papille prominenti. È dimostrato che i vitelli alimentati esclusivamente con latte hanno uno sviluppo ruminale limitato. Al contrario, una maggiore assunzione di alimenti solidi contribuisce al rapido sviluppo della fermentazione ruminale con effetti positivi sul peso del rumine, crescita papillare, grado di cheratinizzazione e sviluppo della muscolatura.
Man mano che i vitelli consumano più mangime starter, il pH della digesta ruminale diminuisce, mentre la concentrazione di acidi grassi volatili (AGV) aumenta gradualmente. La presenza e l’assorbimento di AGV nel rumine fornisce stimoli chimici necessari per la proliferazione dell’epitelio ruminale. Lo sviluppo della papilla ruminale è associata ad un aumento del flusso sanguigno attraverso la parete del rumine e ad un effetto diretto del butirrato e del propionato sull’espressione genica.
La fermentazione acetica promossa dai foraggi ha una scarsa capacità di stimolo sulla crescita epiteliale. Pertanto gli alimenti utilizzati nello svezzamento come il latte, i concentrati e i foraggi influenzano, ognuno in modo differente, la velocità e l’estensione della crescita dell’epitelio ruminale.
Il secondo strato, quello muscolare, riveste la superficie esterna del rumine e offre sostegno alla componente interna (strato epiteliale). La sua funzione principale risiede nella contrazione muscolare, che agevola il movimento del contenuto ruminale all’interno del rumine stesso, il rigurgito e il trasferimento del materiale digerito nell’omaso.
La muscolatura del rumine può essere stimolata da alimenti come i foraggi. Quando i vitelli sono alimentati con una combinazione di latte, fieno e cereali poco dopo la loro nascita, è possibile rilevare le normali contrazioni ruminali già a partire dalle 3 settimane di età. Tuttavia, nel caso in cui i vitelli siano alimentati esclusivamente con latte, potrebbe verificarsi un prolungato ritardo nella manifestazione dei normali movimenti ruminali.
Se il mangime e l’acqua sono messi a disposizione fin dai primi giorni anche in caso di diete con il cosiddetto allattamento ”intensivo”, caratterizzata da una alta somministrazione di latte al vitello in svezzamento, non c’è interferenza negativa sulla crescita ruminale come si potrebbe pensare, anzi questa tecnica, se opportunamente gestita nei tempi e nei dosaggi, agisce come ulteriore stimolo allo sviluppo. Probabilmente l’epigenetica gioca un ruolo fondamentale.
Mangime starter e sviluppo del rumine
Quale forma favorisce un ottimale sviluppo del rumine?
La disponibilità e l’assunzione di starter per vitelli è fondamentale per i vitelli prima dello svezzamento. Tra le materie proteiche, la soia è quella che ha dimostrato maggiori risultati. Tra i cereali, invece, il più comunemente usato negli starter per vitelli è il mais nelle sue varie forme (granella, farina fiocco, estruso). Altri ingredienti che sono utilizzati anche come fonte di carboidrati, ad esempio il melasso di canna o di barbabietola da zucchero aumentano l’appetibilità, riducono la separazione delle particelle e diminuiscono la polverosità.
Tuttavia, è stato dimostrato che un’alta concentrazione di melasso riduce il DMI, può indurre problemi di appetibilità, ridurre l’accrescimento e aumentare l’incidenza delle diarree.
Per migliorare l’apporto energetico, lo starter può essere integrato anche con fonti lipidiche, ma in minime quantità per non deprimere l’ingestione. Inoltre, un mangime starter di buona qualità deve contenere una fonte di fibre facilmente digeribili che prevengono la paracheratosi, o un accumulo di cellule morte sulle papille che bloccano l’assorbimento dei nutrienti.
Recenti studi hanno rilevato che l’integrazione del mangime starter con foraggio macinato corto migliora l’ingestione l’accrescimento e la digeribilità della razione. Gli alimenti con fibra strutturata stimolano la produzione di saliva durante la masticazione e la ruminazione che forniscono urea e minerali, come il bicarbonato di sodio, che aiutano a mantenere la normale crescita e lo sviluppo microbico del rumine. I foraggi grossolani sono importanti per favorire la crescita dello strato muscolare del rumine e per mantenere la salute dell’epitelio.
Forma fisica del mangime starter
L’interesse del vitello per il mangime è regolato da diversi fattori: odore, sapore e forma fisica.
Per quanto riguarda la forma fisica è dimostrato che il pellet da risultati migliore dello sfarinato. Il dibattito resta aperto quando si confronta il pellet con il cosiddetto “multiparticle” che presenta le materie per la maggior parte “a vista” e con granulometria varia. Quest’ultimo sta dando risultati decisamente interessanti sia dal punto di vista dell’ingestione sia degli accrescimenti, ma soprattutto sullo stimolo ruminale e quindi sullo sviluppo delle papille e la composizione degli AGV, nonché sul pH.
La pratica di introdurre il foraggio durante lo svezzamento è stata a lungo sconsigliata per il suo scarso valore energetico e per la sua proprietà di spostare le fermentazioni verso l’acetato, limitando in tal modo lo sviluppo delle papille. È anche vero però, che l’assunzione di mangime con poca fibra e ricco di cereali fermentescibili può portare ad un abbassamento del pH e favorire una ridotta motilità del rumine, che possono causare ipercheratosi e paracheratosi dell’epitelio ruminale.
Scopri le proposte Tecnozoo
Multiparticle Starter









